Öksürük ve hapşırık krizine girdi, hayatının şokunu yaşadı
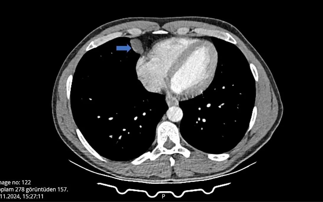
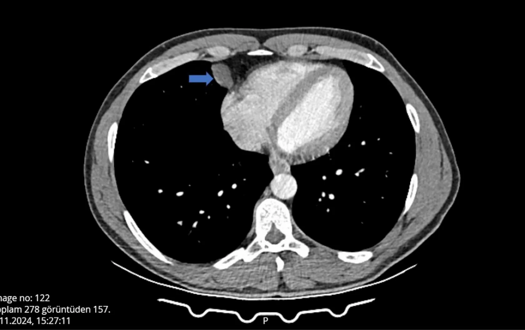
Yaptığı seyahat dönüşü öksürme ve hapşırma krizlerine tutulup grip olduğunu düşünen yat kaptanı hastaneye başvurdu, yapılan kontrolde akciğer ve kalp arasında kist olduğu tespit edildi. Ameliyata alınan kaptan, Video Yardımlı Torakoskopik Cerrahi (VATS) ile 10 dakikalık operasyon sonucu sağlığına kavuştu.
“Öksürürken, hapşırırken nefesim kesiliyordu”
Süreci anlatan Ömer Can, şunları söyledi:
“Uzun bir seyahate çıktım. Seyahat dönüşü soğuk algınlığı gibi bir şey oldu. Omuzumdan bir ağrı başladı ve nefes alırken, öksürürken, hapşırırken nefesim kesiliyordu. Hastane aciline gittim, kist olduğunu söylediler ve burada Eğitim ve Araştırma Hastanesi'ni önerdiler. Kistin ciğerden kalbe sıçramak üzere olduğunu söylediler. Hemen ameliyata alındım ve 1 günde sağlığıma kavuştum. Ben komple göğüs kısmımın açılacağını sanıyordum ve açıkçası korkmuştum. Küçük bir noktadan girildi ve bu kadar hızlı taburcu olacağını düşünmüyordum. Hocalarımdan Allah razı olsun.”
-
sağlık haberleri
-
grip
-
kist
-
hapşırma krizi
-
yat kaptanı
-
Antalya Eğitim ve Araştırma Hastanesi
-
Antalya haberleri
Bakmadan Geçme