- Haberler
- Sağlık
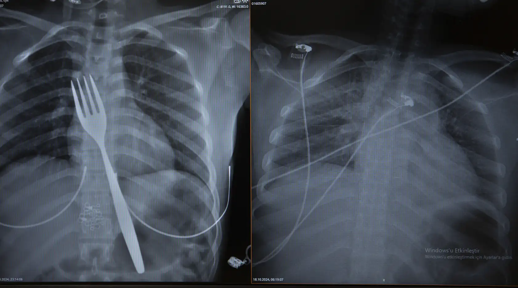
- Hastaneye kaldırılan genç kızın yemek borusundaki çatal, mide ameliyatıyla çıkarıldı
Hastaneye kaldırılan genç kızın yemek borusundaki çatal, mide ameliyatıyla çıkarıldı
Genç kızın yuttuğu çatal, operasyonla alındı.
WhatsApp İhbar Hattı
0530 898 92 56
ÇEKİN, GÖNDERİN, YAYINLAYALIM!
-
çatal yutan genç kız
-
Öğretim Üyesi Dr Salih Çokpınar
-
Cerrahi Ana Bilim Dalı Dr Öğretim Üyesi Akay Edizsoy
-
Bakmadan Geçme
Mutso Datça’da Üyeleriyle Bir Araya Geldi
Muğla ve İlçelerinde 2 Kasım Pazar Hava Durumu
Datça'da Yasadışı Kınalı Keklik satışına 28 bin TL ceza
Safari araçları çarpıştı: Yaralı sayısı 11'e yükseldi
Kız arkadaşı olduğu öne sürülen kadını önce vurdu, ardından aynı silahla intihar etti
Fethiye’de Gece Yarısı Feci Kaza! 21 Yaşındaki Genç Hayatını Kaybetti